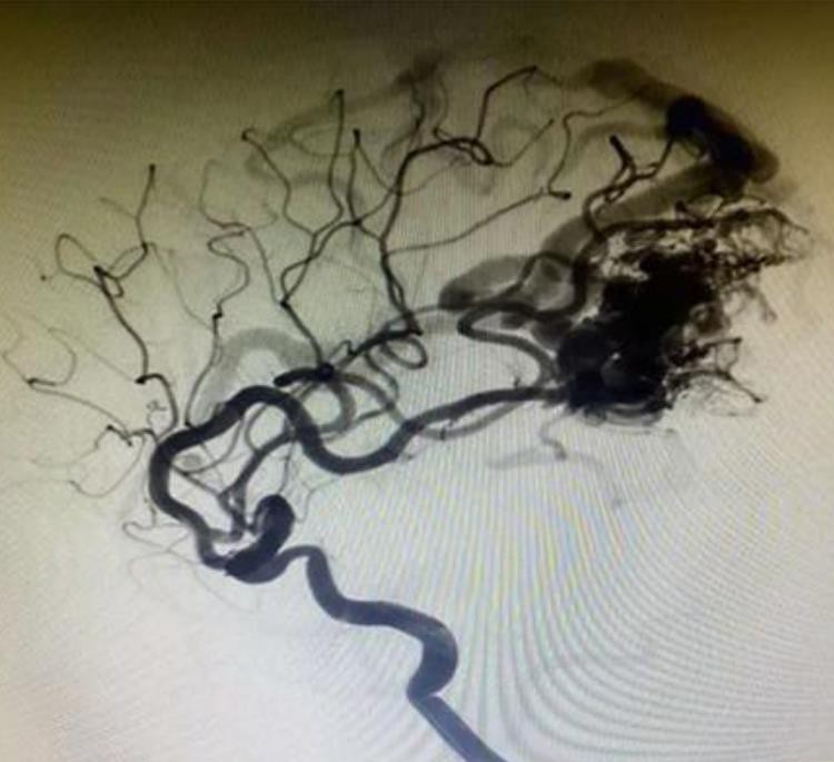
लावा -12 इंट्राक्रानियल एन्यूरिज्म लिक्विड एम्बोलिक सिस्टम
जब लावाटीएमइंट्राक्रैनील एन्यूरिज्म लिक्विड एम्बोलिक सिस्टम रक्त या किसी भी जलीय घोल के साथ संपर्क कर रहा है, इसकी सतह तुरंत ठोस हो जाएगी और एक सुरक्षात्मक फिल्म बनाएगी। एम्बोलिक एजेंट में डीएमएसओ को रक्त में पतला और विसरित किया जाता है, ताकि इवोह द्वारा लपेटे गए टैंटलम पाउडर को बाहर से अंदर तक ठोस और ठोस किया जाए। उसी समय, लावा इंजेक्शन दबाव के तहत बहुत दूर तक फैल गया है। अंत में, यह एम्बोलिज़ेशन स्थिति में एक स्पंजी एम्बोलिक बॉडी बनाता है।

लावाटीएमएन्यूरिज्म एम्बोलिज़ेशन सिस्टम गैर-चिपकने वाली सामग्री से बना है, इसलिए यह कैथेटर को अधिक सुरक्षित और नॉन-स्टिक है।
यह मॉडल लावा -12, लावा -18 और लावा -34 की पूरी श्रृंखला के साथ अद्वितीय कम-चिपचिपापन सूत्र है।
इसमें बेहतर फैलाव और प्रवेश है। और यह घाव में गहराई से प्रवेश कर सकता है, और डिस्टल पोत तक पहुंच सकता है।
टैंटलम पाउडर अधिक महीन है, अधिक धीरे -धीरे अवक्षेपित है और प्रतियोगियों की तुलना में अधिक स्पष्ट रूप से रेडियोग्राफी है।

के लिए नोटइंट्राक्रैनील एन्यूरिज्म तरल एम्बोलिक सिस्टम
● देखें कि क्या लावा लिक्विड एम्बोलिक एजेंट जम जाता है, यदि हां, तो इसे सबसे पहले पिघलाया जाना चाहिए।
● वाइब्रेटर पर लावा लिक्विड एम्बोलिक एजेंट डालें।
● वाइब्रेटर को उच्च स्तर पर समायोजित करें।
● हिलने के लिए 20 मिनट से कम नहीं
● जब तक इसका उपयोग नहीं किया जाता है।
|
उत्पाद कोड |
चिपचिपापन |
विवरण |
|
लावा -12 |
12 सीएसटी |
कम चिपचिपाहट, अधिक तरल, डिस्टल माइक्रोवेसल्स के लिए; |
|
लावा -18 |
18 सीएसटी |
मानक सूत्र, सामान्य उपयोग; |
|
लावा -34 |
34 सीएसटी |
उच्च प्रवाह वाहिकाओं के लिए उच्च चिपचिपाहट। |











